a
Terms in skin pathology
q
Eyelid pathology appears commonly in the examination. This section lists some common terms used to describe microscopic changes in the skin. Many other terms are not included here as their changes are seldom seen in the eyelid. 

Acanthosis
Thickening of the epidermal layer. This usually refers to an increase in the number of prickle cells (keratinocytes which lie above the basal layer). This occurs in seborrheic keratosis.

Hyperkeratosis
This refers to an increase in the amount of keratin. Clinically, this appears as scale or horn on the surface of the lesion. This can occur in many different lesions both benign or malignant. In order to obtain an accurate diagnosis, it is important to remove the underlying structure ie. the epidermis for histology. 
It is seen in:


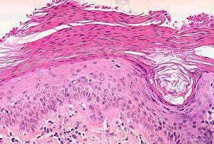
Parakeratosis
This term refers to the retention of nuclei within the keratin layer. This sign indicates shortened turn-over of the epidermis. This occurs in actinic keratosis.

Dyskeratosis
This term refers to cell keratinization within the epidermis rather than at the surface as is normally the case. An aggregate of such cells form the keratin pearl or eddy. It is seen in squamous cell carcinoma.

Dysplasia
It is used to describe cells that show aberrant growth and differentiation. It is reflected microscopically by nuclear hyperchromasia and increased cell size (disordered differentiation) and increased number (aberrant growth). Dysplastic cells lie in a continuum between benign and fully malignant. 
In the epidermis, dysplasia arises in the basal keratinocytes and is reflected by disorganization and enlargement of the cells. Clinically and microscopically this lesion is called an actinic keratosis. If the process of malignant transformation continues, the dysplastic cells become fully malignant, invade the dermis, and are now capable of spread beyond the skin (metastasis). Once the malignant cells have invaded the dermis, the lesion is termed squamous cell carcinoma (reflecting the cell of origin).


Actinic keratosis showing parakeratosis and dysplasia.

Cutaneous horn showing hyperkeratosis.
Return to the main page