a
Sebaceous cell carcinoma
q
While less common than the basal cell carcinoma or the squamous cell carcinoma, the pathologist would expect you to have a good knowledge of sebaceous cell carcinoma because of the following reasons:
    • the upper eyelid is the most common site for sebaceous cell carcinoma
    • the condition is often mis-diagnosed as recurrent chalazion or unilateral blepharitis at the early stage
    • it is aggressive and can metastasize
    • special preparation and staining are used to help diagnosis
Sebaceous cell carcinoma usually occurs in the elderly and can arise from the following structures:
    • meibomian glands
    • glands of Zeis
the tumour also has the propensity to spread along the conjunctiva. Therefore, biopsy of the conjunctiva is important.

In the examination, you may be given a picture of unilateral blepharitis for differential diagnosis or you may be given slides with or without special stains.(Note: the histology may have features of chalazion either from blockage of the meibomian glands or the leakage of the lipid from the tumour cells).

The following slides may be given:

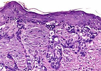
  • Slides not treated with special stains. The slides may contain foamy cells or cells with vacuolated cytoplasm. The vacuolated cytoplasm indicates that the fat in the cytoplasm has been removed by alcohol during paraffin fixation. 

  •  
  • Slides treated with special stains (more common in the examination).

  • The examiner will usually provide you clue by mentioning the stains used for example oil red O or sudan black (oil red O is more commonly used than sudan black). 
The pathologist is likely to ask how you manage a tissue suspected of sebaceous cell carcinoma. (Answer: Contact the pathologist so that fresh frozen section of the tissue can be stained with special stains such as oil red O to show up any intracytoplasmic lipid. Tissue left in formaldehyde for too long or treated with paraffin fixation will have their intracytoplasmic lipids removed. The reason for the special stain is that some poorly differentiated sebaceous cell carcinoma can be difficult to distinguish from squamous cell carcinoma. The presence of intracytoplasmic lipid will help to confirm the diagnosis.)

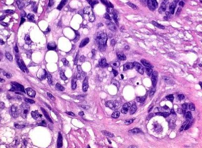
Sebaceous cell carcinoma. The tumour cells are the vacuolated cells in the 
dermis and the epidermis. The appearance is the result of removal of oil 
from the cytoplasm.

Magnified views of the vacuolated sebaceous cell carcinoma.

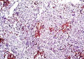
Sebaceous cell carcinoma stained with oil red O.The red 
areas represent the tumours cells that contain fat.

    Common viva questions:
     
    • A patient has recurrent chalazion of the same site despite incision and curettage. How would you manage the patient? (History and examination for predisposing factors such as diabetes mellitus, blepharitis and acne rosacea. Exclude sebaceous cell carcinoma. Inform the pathologist before sending the specimen so that special preparation is set up for the tissue. If sebaceous cell carcinoma is confirmed, wide excision of the primary lesion and map biopsies of the lids and conjunctiva because the tumour can be multicentric.)
    • How would you send a specimen of suspected sebaceous cell carcinoma for histopathological identification?
Return to the main page