a
Squamous cell carcinoma
q
Like basal cell carcinoma, squamous cell carcinoma is associated with sun damage and both conditions usually occur in the lower eyelids. However, squamous cell carcinoma is far less common than basal cell carcinoma.

In the examination, you may be shown a clinical picture or slide of squamous cell carcinoma. Sometimes a picture of cutaneous horn with underlying squamous cell carcinoma may appear.

Clinically, squamous cell carcinoma has a everted edge with central ulceration. Keratinization can be prominent . The tumour is rapid growing and can metastasize. (cf. with basal cell carcinoma with has rolled edges, little or no keratinization, slow growth and does not metastasize).


Squamous cell carcinoma (SCC) and seborrheic keratosis (SK) on the right 
temple. Seborrheic keratosis is benign and not related to sun damage.

A cutaneous horn is a clinical term referring to the presence of a stack of keratin on a lesion. The differential diagnosis include solar (actinic) keratosis, seborrheic wart, squamous cell carcinoma and rarely sebaceous cell carcinoma. When biopsy the lesion, the skin under the horn should be taken for a definite diagnosis.

Cutaneous horns are made up of keratin and resulted 
from excessive keratin production by the keratocytes. 
They can occur in both benign and malignant condition. 
For an accurate microscopic diagnosis, the base of the
horn should be sent for histology.

In the histological slide, a squamous cell carcinoma has the following features:
  • dermal invasion by abnormal cells from the epidermis
  • pleomorphism of the tumour cells
  • presence of keratinization within the cells which give the cells abundant pink cytoplasm,  (this may be absent in poorly differentiated type). Intraepithelial keratin in the shape of a whorl is termed squamous eddy or pearl.
  • at high power intercellular bridges are commonly seen.

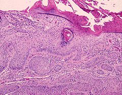
Low power. Invasion of the dermis by abnormal 
epidermal cells. Note the presence of keratin (pink 
areas) on the tumour surface and within the 
epidermis.

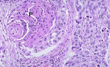
Keratin pearl (P) or eddy in squamous cell carcinoma from intraepithelial 
keratinization. The cells in the tumour also show pleomorphism.

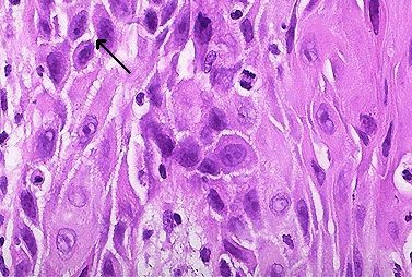
High power of squamous cell carcinoma showing the presence 
of intercellular bridges (arrow show one of the bridges). Mitosis 
can also be seen.

Common questions:
  • What clinical features differentiate squamous cell carcinoma from basal cell carcinoma?
  • What features can be used to differentiate keratoacanthoma from squamous cell carcinoma?
  • How would you excise a squamous cell carcinoma? (Confirm the diagnosis with biopsy, excise the lesion with 5 mm clear margin to include possible microscopic dermal invasion.)
Return to the main page