a
Basal cell carcinoma
q
Basal cell carcinoma is one of the most popular question to appear in pathology viva. You will be expected to describe the typical histological features and various ways of treating the tumour.

Clinically, basal cell carcinoma may be well-defined (far commoner; with nodular appearance, rolled edge, central ulceration and telangiectasia) or diffused (plaque-like so called the morphea form with ill-defined edges).

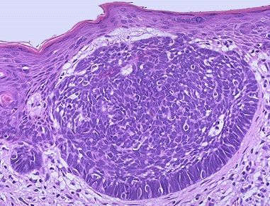
Histologically, the following features are present:

  • the tumor cells form dermal nests, cords, and islands that, in a given plane or section, may or may not communicate with the overlying epidermis. 

  •  
  • the cells forming nest are small and round and resemble basal keratinocytes

  • at the periphery of the nests, these cells elongate in parallel array, forming a palisading pattern (the examiner will expect you to mention the term palisading). 

  •  
  • the tumor cells, have little pleomorphism, and mitosis are infrequent. 

  • Low magnification. The skin shows an area of ulceration (U). 
    Islands of basal cell carcinoma (B1) and cords of basal cell carcinoma 
    (Bc) in communication with the epidermis. A hair follicle is also visible. 
    Inflammatory cells are visible surrounding the tumour cells. 

    High magnification. Basal cell carcinoma below the epidermis. 
    Note the typical nuclear palisading at the peripheral layer of the tumour.

    Common viva questions:
      • How would you manage a basal cell carcinoma? (Confirm diagnosis with 

      • biopsy and tumour excision with 3 mm clear margin. Other modalities of treatment 
        include: cryotherapy, radiation and chemotherapy by applying 5 FU cream.)
         
      • What is the advantage of Moh's method of excising basal cell carcinoma?

      • (ensure complete tumour excision and preserve tissue)
         
      • Is basal cell carcinoma inherited? (some hereditary conditions are associated with basal cell carcinoma for example: Gorlin-Goltz's syndrome, Bazex's syndrome and xeroderma pigmentosa.)
    Return to the main page