a
Granulomatous lesion
q
    In pathology, granulomatous lesion is used to describe chronic inflammation in which the predominant inflammatory cell is the macrophage with variable amount of lymphocytes. The macrophages in such circumstances may aggregate to form a circumscribed mass (granuloma). In addition, the macrophages may fuse together to form multinucleate giant cells (different types of inciting materials may produce different giant cells).

    Granulomatous lesion typically occurs when the usual acute inflammatory reaction involving neutrophils could not remove the inciting agent. The second line of defense involving macrophages then take over. The common inciting agents include the following:
     

      • Bacteria: mainly Mycobacteria such as TB or leprosy
      • Fungi
      • Exogenous foreign body
      • Endogenous altered material such as lipid (chalazion) or keratin (epidermoid/dermoid cyst)
      • Unknown causes for example sarcoidosis


    In the examination,  the most common slides that feature granulomatous lesions are:


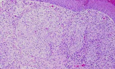
A skin specimen showing sarcoidosis. Note the presence of giant cells.
    The granulomatous lesions in this disorder are typically non-caseating. This is in constrast to TB granuloma which causes casating granuloma (slides with TB granuloma is uncommon in MRCOphth). 

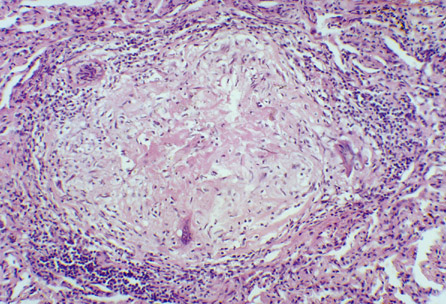
A TB granuloma showing central necrosis (caseating granuloma) and the presence 
of giant cells.

 
Return to the main page