a
Giant cells in chronic inflammation
q
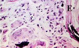
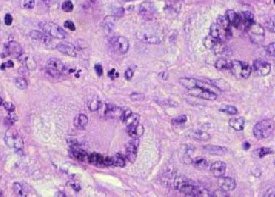
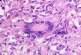
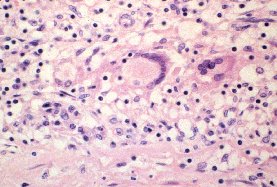
Slides showing chronic inflammation are commonly encountered in the examination. Very often the examiner will show you slide containing giant cells as in chalazion, giant cell arteritis, sarcoidosis or tuberculoma. 

Giant cells are transformed macrophages. There are three main types of giant cells seen in chronic inflammation and each has a typical histopathological feature. (Note: while giant cells are characteristic of granuloma, a granulatomatous lesion can still be diagnosed without their presence):

  • Langharn's cell: the giant cell has a peripheral ring (horseshoe) of nuclei in the cytoplasm 
  • Foreign body giant cell: the nuclei are centrally placed and overlap each other
  • Touton's cells: there is a ring of nuclei separating a peripheral clear cytoplasma from an eosinophilic central cytoplasm. Slide showing typical Touton's cells are rare but you may be shown pictures of juvenile xanthogranuloma (skin or iris) followed by a discussion of its histopathological feature.

 
Test yourself pictures:
The following pictures show different types of giant cells. 
Can you identify them using the description above?

a a

 
Return to the main page