a
Giant cell arteritis 
(temporal arteritis)
q
If you are asked to examine a slide containing blood vessel, the vessel is most likely to be a piece of biopsed temporal artery.  Therefore, the diagnosis is most likely to be giant cell arteritis (temporal arteritis).

In the slide look for:

      • inflammatory cells in the media and intima
      • presence of giant cells (not necessary for diagnosis)
      • fragmented internal elastic lamina

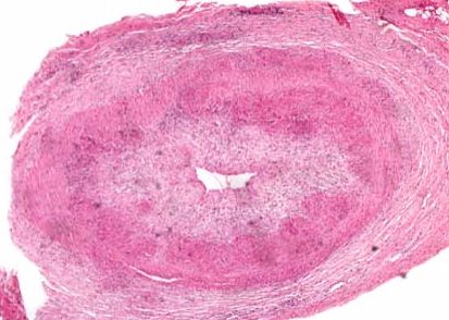
Low magnification.
H & E staining of a medium-sized artery with giant cell arteritis. 
Note thickening of the media and intima with inflammatory cells 
( appearing as blue dots)
( Click here to compare it with a normal vessel ).

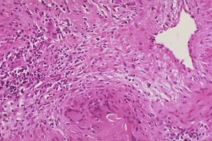
High magnification
H & E staining showing the presence of  inflammatory and giant cells.
(click here to find out if you have correctly identified the giant cells)

Common questions in the viva:

  • What are the ocular symptoms of giant cell arteritis?
  • What signs are suggestive of giant cell arteritis?
  • What laboratory investigations would you perform (ESR vs C-reactive protein)?
  • The treatment of giant cell arteritis.
  • Histological features of giant cell arteritis. Skip lesion. How long after starting systemic steroid can biopsy still be useful for showing giant cell arteritis? (Answer: within one week of starting steroid)
  • How do you perform giant cell biopsy?
Return to the main page