patient 1 patient 2 These two patients presented with similar eyelid lesions. An excision biopsy shows the following histology.
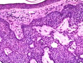
These two patients presented with similar eyelid lesions. An excision biopsy shows the following histology.
What is the diagnosis? Answer Basal cell carcinoma. The histology shows cells with hyperchromatic nuclei with peripheral palisading of the tumour. What are the treatment options for this condition? Answer Surgery. The definitive treatment is surgery leaving a clear margin of 3 mm to ensure complete excision. The defect is reconstructed with graft or flap. Cryosurgery. Low temperature is used to kill the cancer by freezing. Suitable for those who cannot tolerate surgery. Radiation. Chemotherapy. Topical application of 5-FU but the tumours here are too big and deep for this to be effective. Photodynamic therepy. This is suitable for patients with multiple superficial basal cell carcinoma such as Gorlin's syndrome. More questions
What is the diagnosis? Answer Basal cell carcinoma. The histology shows cells with hyperchromatic nuclei with peripheral palisading of the tumour. What are the treatment options for this condition? Answer Surgery. The definitive treatment is surgery leaving a clear margin of 3 mm to ensure complete excision. The defect is reconstructed with graft or flap. Cryosurgery. Low temperature is used to kill the cancer by freezing. Suitable for those who cannot tolerate surgery. Radiation. Chemotherapy. Topical application of 5-FU but the tumours here are too big and deep for this to be effective. Photodynamic therepy. This is suitable for patients with multiple superficial basal cell carcinoma such as Gorlin's syndrome.
What are the treatment options for this condition?