Case 8
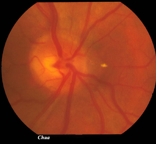
History:  A 70 man presented with a transient right visual loss lasting 60 minutes. Examination revealed a cholesterol embolus in the nasal retinal vessel. Carotid ultrasound revealed significant stenosis and he was referred to the vascular surgeon.
Index Next page Success in MRCOphth