Case 40
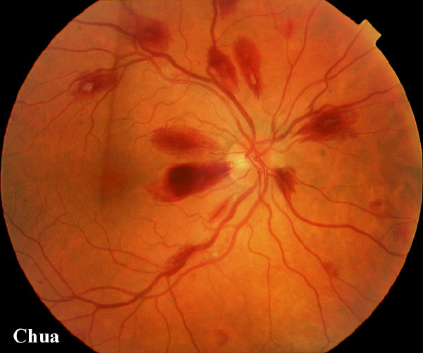
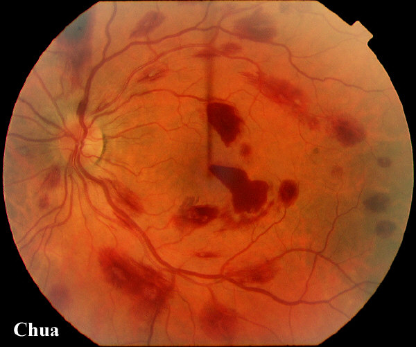
History:  A 30 year-old woman undergoing chemotherapy for acute leukaemia complained of dark patches in her vision. She had severe anaemia with haemoglobin concentration of 4 g/dL. Fundoscopy showed extensive retinal haemorrhages with some containing white centres. The features were suggestive of retinopathy caused by severe anaemia. The haemorrhages resolved following blood transfusion. 
Index Next case Success in MRCOphth