Case 28
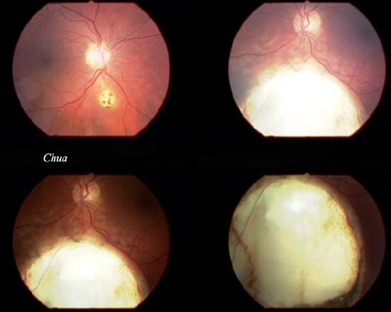
History: A 28 year-old woman was referred by her optician because of the fundal appearance below. She was otherwise well and had no visual symptom. The visual acuity was 6/6 in both eyes. The appearance below are caused by failure of the closure of the optic fissure giving rise to bilateral coloboma (more extensive in the left than the right eye). No follow-up was arranged however, as the patient was at risk of retinal detachment and she was advised to contact the eye unit if she experiences any visual disturbance..

A small right inferior coloboma and a large left inferior coloboma. 
The white areas represent the exposed sclera.
Index Next case Success in MRCOphth