| Neuro-ophthalmology: Case eighteen |
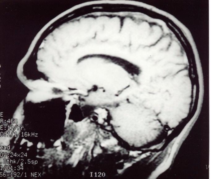
This 58 year-old man complained of a severe headache 12 hours after taking part in the London marathon. He attended the general casualty but no cause was found. He was discharged with a diagnosis of possible migraine. However, the pain persisted and he re-attended the casualty 2 days later. He was found to have bilateral optic disc swellings and an urgent MRI scan was requested. Full blood count revealed high platelet count (thrombocythemia) but otherwise all the other tests were normal.
a. What does the scans show?
b. With which disease may this condition be confused with ?
c. What are the predisposing factors for this condition?
Click here for the answers Click here for the main page Click here for MRCOphth tutorials