Anterior Segment and the eyelids :
                                      Case forty


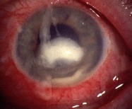
This 50 year-old female contact lens wearer presented with a one-day history of severe right eye pain. She attended the eye casualty two day earlier with a contact lens-related corneal abrasion and was prescribed topical chloramphenicol qds.

a. What is the most likely pathogen causing this appearance?

b. Was the patient given the right antibiotic cover in her first visit?

c. How would you manage this patient?
 
 
 

Click here for answers Click here for the main page Click here for MRCOphth tutorials