a
Xanthelasma
q
Xanthelasma occurs commonly in the periorbital region and therefore the pathologist is never short of slides for this condition.

The features to look for are:

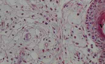
    • multiple clear cells in the dermis (typically around a blood vessel); these cells are also called foam cells and they are macrophages which are lipid filled. Due to the prepartion of the tissue, the lipid component of the cells are removed by the alcohol and therefore the cells appears empty.

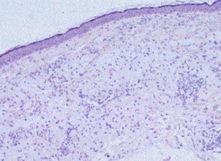
Low magnification H&E
Xanthelasma showing cells in the dermis. At higher 
magnification, the cells can be seen as lipid-laden 
macrophages.
....
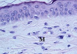
High magnification H & E
Presence of lipid-laden macrophages (M) which appear to 
have clear cystoplasm due to removal of lilpid during 
tissue preparation. The right picture shows the presence 
of multiple foam cells next to a blood vessel (V).

Common questions in the viva:
  • How would you manage a patient with xanthelasma? (blood tests for cholesterol, excision of lesion or laser or chemical treatment)
     
Return to the main page