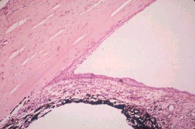
What are the features seen? Answer The first picture shows the presence of an abnormal layers of cells extending from the undersurface of the cornea to the iris stroma. The second picture shows the iris is covered by an abnormal layer of cells. What is the diagnosis? . Answer Epithelial downgrowth. The abnormal layer of cells came from the corneal epithelium.(see pictures below) The epithelium covers the trabecular meshwork and blocks the aqueous outflow.