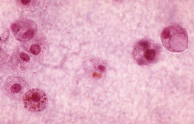
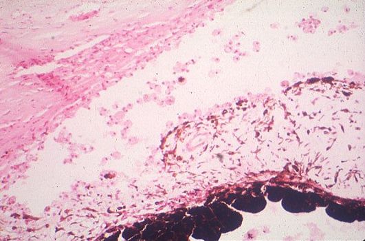
What do the pictures show? Answer The first picture shows numerous round cells in the angle of the anterior chamber. These cells are macrophages. The second picture shows cells containing lens proteins in the cytoplasm. These are macrophages that had phagocytosed lens materials (see picture below). What is the diagnosis? a Answer Phacolytic glaucoma. This condition resulted from the leakage of lens proteins into the anterior chamber. The lens protein came from the liquefied cortex of a hypermature cataract. The raised intraocular pressure is a consequence of blockage of the trabecular meshwork by the lens proteins and the macrophages that phagocytose the lens proteins. How would you manage a patient with this condition? a Answer Removal of the cataract and irrigation of the anterior chamber.