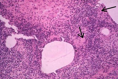
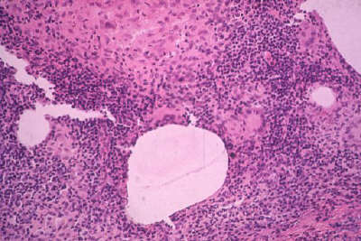
What can you see in the specimen? Answer Inflammatory cells surrounding clear spaces and the presence of multinucleated cells (see picture below). The diagnosis is chalazion. The clear spaces contained lipid removed during preparation of the tissue.