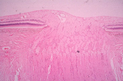
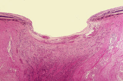
What does the above specimen show? Answer There is loss of the nerve fibre layer and near complete excavation of the optic nerve head. (see pictures at the bottom of the page which compare the above specimen and a normal optic nerve head.) What is the most likely cause for this appearance? a Answer Primary open angle glaucoma.
a a a