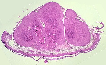
What does the above specimen show? Answer The epidermis contains a dome-shaped, lobulated lesion with multiple inclusion bodies. What is responsible for this appearance? 0 Answer Molluscum contagiosum which is caused by a DNA poxvirus. How may the patient present? 0 Answer Chronic follicular conjunctivitis due to shedding of the viral particles into the conjunctiva.