This 75 year-old woman presented with this
lesion below her left eyelid. She had had two biopsies taken from the lesion
before undergoing excision. The marking around
the lesion defined the margin of excision.
 |
-
What does the picture show and what are the possible causes?
-
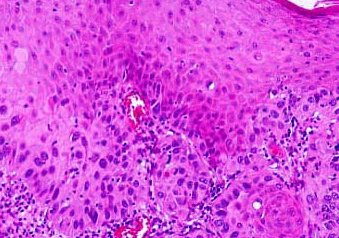
The above picture shows the first biopsy as taken by a junior ophthalmologist.
What is the diagnosis?
-
A repeated biopsy revealed a histology similar to the above picture.
What is the diagnosis?
a
|