a
Test 21
q
The eyelids can be affected by many different tumours. Two common tumours that often affects the eyelids of young patients are shown below with their clinical appearance.
 
Case 1
This young female complains of whitish lesions affecting her eyelids especially of the lower lids. The histology is as shown.

  • What is the diagnosis?

  • a
  • What does the histology show?
      • a

    a
  • What is the treatment of choice?

  • aa

Case 2
aa
This teenager presented with a nodular lesion below the left eye. The lesion is hard to palpation. The histology is shown on the left.

      • What is the diagnosis?
      a
        a
        a
      a
        a
      • What does the histology show?
          • a
Return to the main page

 
 
 
 
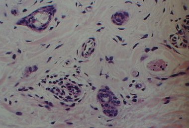
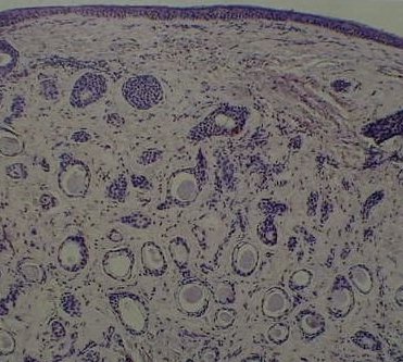
Syringoma

Syringoma showing ducts surrounded by the abnormal epithelial cells.
Return to case 1
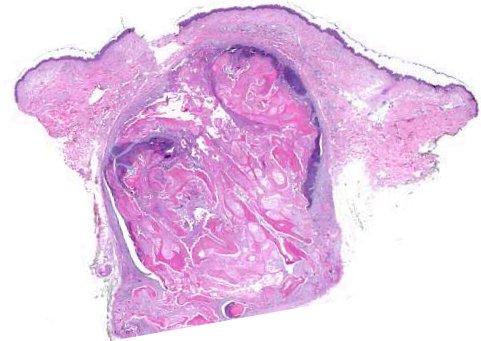
Brow

Pilomatrixoma.  Brow area is a common site for this lesion. 
The differential diagnosis include epidermoid and dermoid 
cyst. In long-standing cases, calcification may be seen.
Return to case 2
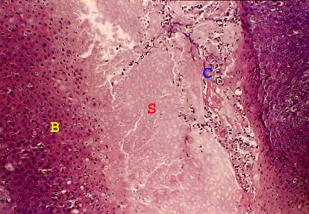
Magnified

 Magnified view of pilomatrixoma. B represents the basophilic cells. S the shadow 
(ghost) cells. Note the central clear areas. C areas of calcification.
Return to case 2