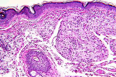
What is the diagnosis and why? Answer Xanthelasma. Presence of multiple foam cells in the dermis. The foam cells are made up of histiocytes that have phagocytosed cholesterol. What systemic abnormality may be associated with this condition? a Answer Hyperlipoproteinaemia especially type II and III. This is seen in 1/3 of the patients with xanthelasma.