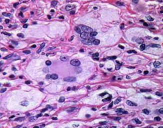
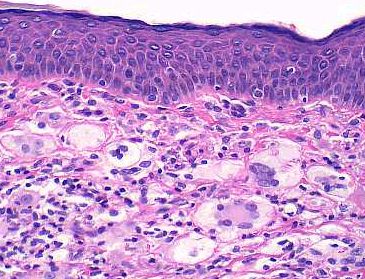
What is the most likely diagnosis and why? Answer Juvenile xanthogranuloma. Presence of multiple Touton's cells ie. ring of nuclei separating the central pink cytoplasm from the peripheral clear cytoplasm. Refer to the bottom picture for a magnified view. How can this condition affect the eye? a Answer The lesion may appear in the iris causing spontaneous hyphaema.