a
 Squamous papilloma
q
Squamous papilloma of the eyelid is the most common benign lesion. Clinically it appears pedunculated or sessile with finger-like projection on its surface. Unlike conjunctival papilloma, most squamous papilloma is not associated with viral infection.

A squamous papilloma in the lower lid margin.
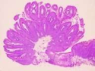
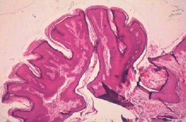
Histologically, the following features are present:
  • epithelial acanthosis and hyperkeratosis with folds that surround a central fibrovascular core.

Squamous papilloma at 
low magnification.

Squamous papilloma at higher magnification showing the finger-like 
projection and the central fibrovascular cord.
Common question:
  • How does squamous papilloma differ from viral papilloma? (In viral papilloma, there is inflammatory hypertrophy of papillae with viral inclusions.)
Return to the main page