a
Molluscum contagiosum
q
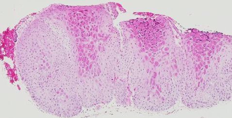
Molluscum contagiosum is a popular topic because the lesion has very characteristic appearance. The opening question may be: " This is the lesion taken from a patient with recurrent (follicular) conjunctivitis. What can you see?"

The features to look for are:

    • epidermis acanthosis (hyperplasia) which grows into the dermis to form multiple lobule
    • intracytoplasmic inclusion bodies which are eosinophilic (stianed pink with H & E) at the base but becomes more basophilic (stained blue with H & E) at the superficial layer
    • central crater into which the inclusion bodies discharge their content

Low magnification H & E
Lobules of epidermis with inclusion bodies. Note the inclusion bodies are pinker
at the base and become progressively darker and bluish towards the crater.

High magnification H & E
Cross section of a molluscum contagiosum 
showing nestles of inclusion bodies.

Common questions in the viva:
  • What are the clinical features of molluscum contagiosum?
  • How may molluscum contagiosum present to the ophthalmologist?
  • How would you manage molluscum contagiosum?
     
Return to the main page