a
Diabetic eye disease
q
Here are some slides showing diabetic eye disease. 

Lacy vacuolation of the iris pigment epithelium. The spaces were originally 
occupied by glycogen which occurs in the hyperglycaemic state.
a

Rubeosis iridis showing the presence of new vessels on the anterior 
surface of the iris.
a

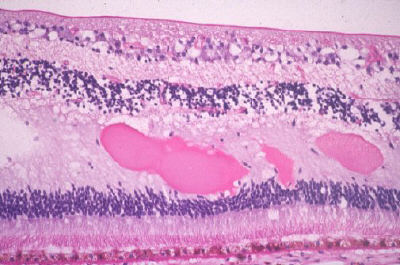
Presence of exudate in the outer plexiform layer.
m

Neovascularization of the retina. The contraction of the  fibrous tissue
(arrowed) has caused folding of the retina (R) under it.

Return to the index