a
Common conjunctival pathology
q
Conjunctival naevi are often removed for cosmetic reason or concern about malignant transformation. The most common site for conjunctival naevi is the bulbar conjunctiva. 

Conjunctival naevi are classified according the location of the naevus cells

  • junctional naevi     (the cells are  located solely between the epithelium and the 
      •              substantia propria)
  • subepithelial naevi  (the cells are entirely in the subepithelial region)
  • compound naevi    (the cells are found both in the epithelium and the
        • substantia propria)
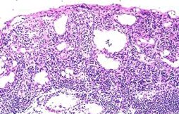
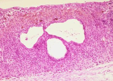
In the examination, most of the conjunctival naevi seen are of the compound type. These naevi have characteristic cystic spaces. These cysts can also be observed on the slit-lamp.
 

Presence of cystic spaces in a 
conjunctival compound naevus.

Magnified view of a conjunctival compound 
naevus showing cystic spaces.
v
Return to conjunctiva index