a
Pterygium
q
Pterygium is a degenerative condition associated with excessive ultra-violet exposure. Clinically, it appears as a winged fibrovascular tissue extending from the conjunctiva into the peripheral cornea.

Histologically, the conjunctival changes are indistinguishable from that of pingueculae. The main differences between the two are mainly clinical:
  • pinguecula can be present in both nasal and temporal bulbar conjunctiva whereas pterygium is usually confined to the nasal aspect
  • pinguecula is confined to the conjunctiva whereas pterygium invade cornea causing destruction of the Bowman's layer.
The following are the main features of pterygium:

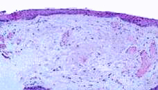
Normal conjunctiva with eosinophilic
stroma.

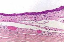
Pterygium with stromal elastosis.
(basophilic degeneration / staining)

  • thinned conjunctival epithelium (occasionally this may be thickened)

  •  
  • elastotic degeneration of the stroma (the normal conjunctival stroma is stained pink with H&E but in sun-damaged conjunctiva, the collagen in the stroma is stained blue resembling the elastic tissue. This is also called basophilic degeneration. This feature is also seen in the dermis of actinic keratosis, basal cell carcinoma, squamous cell carcinoma and melanoma)

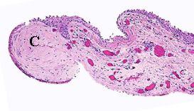
A specimen of pterygium containing corneal 
stroma (C). The stroma of the conjunctiva shows 
elastosis and presence of vasculature.

Common viva questions:
  • What other lesions in and around eye may be associated with sun damage?
  • What are the indications for removing pterygium? (Visual disturbance, cosmesis and recurrent inflammation)
  • What measures may be used to reduce the recurrence rate of pterygium? (conjunctival transplant to cover the bare area, beta radiation and mitomycin)
Return to the main page