a
| Microbes |
Stain |
Colour |
| Bacteria |
Gram staining |
Positive |
blue/black
a
 |
| Negative |
red
a
 |
| Chlamydia |
Giemsa stain |
blue-purple inclusion bodies
a
 |
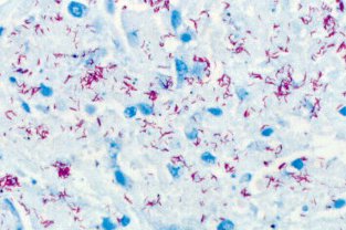
| Mycobacteria |
Ziehl-Neelsen (ZN) |
red
a
 |
| Fungi |
Grocott hexamine (methenamine)
silver |
black
a
 |
| Acanthamoeba cysts |
PAS |
purple
a
 |
Grocott hexamine
(methenamine) silver |
black
a
 |
| calcofluor white |
green fluoresence
a
 |
|