n
Choroidal melanoma
q

Choroidal melanoma with subretinal fluid 
(the pink area around the dome-shaped lesion)

A bisected globe showing an amelanotic mushroom-shaped choroidal melanoma.

Choroidal melanoma is a common topic in the pathology viva. The specimen given can either be a slide or a bisected eye. 
a

A section of an enucleated eye showing a 
choroidal melanoma that has broken through 
the Bruch's membrane into the vitreal cavity
giving rise to a "collar-stud" appearance.

A histological slide showing a 
mushroom-shaped choroidal 
melanoma with retinal detachment.
.

In both the slide and the bisected eye, comment on:
    • the size of the lesion (especially the base of the tumour which is in 

    • contact with the sclera, see picture below).
    • the location of the lesion (an anteriorly situated tumour and therefore late discovery)
    • any evidence of extraocular invasion (in the slide note any 

    • lesion in the blood vessels and in the bisected eye any breach of the sclera)

      (the above observations are of prognostic values as a bigger tumour, an anteriorly situated tumour and evidence of extraocular invasion are associated with poor survival rate.)


A large choroidal melanoma causing retinal detachment. The red line represents the area of contract between the melanoma and the sclera.

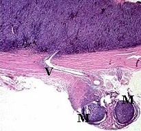
A slide showing extension of the melanoma into the vortex vein (V). 
(note the melanoma in the lumen M)

In the slide, the examiner will expect you to discuss the cell type(s) present which again is of prognostic importance. The Callender classification is the most commonly used classification and divide the cell types into three. 
 

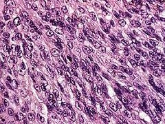
Spindle-A cells contain slender nuclei with delicate chromatin, ill-defined or absent nucleoli, and no mitotic activity. The cells resemble a choroidal naevus.

  . 

 

Spindle-B cells contain plump nuclei with small but prominent nucleoli and coarse chromatin.  Mitotic figures are common. 
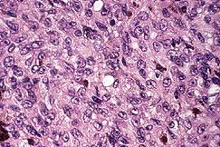
Epitheloid cells are so-called because they resemble  epithelium cells with their eosinophilic (pink) cytoplasms and oval-shaped nuclei. The cell sizes are variable . They are also  larger and pleomorphic compared with the spindle cells. The nuclei may be multinucleated.  Chromatin shows coarse clumping.  Mitotic figures are abundant.  The cells have no cohesiveness.

The histology sometimes reveals a mixture of cells usually a mix of spindle and epitheloid cells. This is called the mixed type tumour.


Common viva questions:
  • What factors determine the prognosis of choroidal melanoma?
  • What are the cell types of choroidal melanoma?
  • What are the treatment options for choroidal melanoma?
Return to the main page