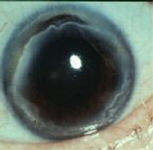
Terrien's marginal degeneration = an uncommon but distinct variety of marginal thinning of the cornea. It is usually bilateral, although often asymmetric, and is seen mainly in younger men.
 

Thinning of the peripheral cornea 
without obvious inflammation.
More ophthalmic eponyms