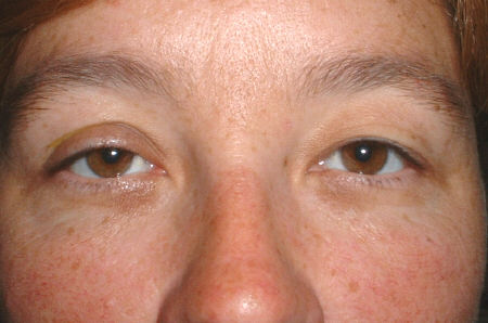
This 30 year-old was born
with bilateral mild ptosis, worse in the left than the right eye. She underwent
a left operation 8 month earlier to correct the left ptosis. Although the
height was satisfactory, the skin crease was obscured by the excess upper
lid skin giving an asymmetrical upper lid appearance. In addition, the
right ptosis became more prominent with the correction of the left ptosis.
A combine right levator advancement and left blepharoplasty were carried
out.
Right ptosis and left excess skin overhanging
the skin crease. |
The site where the skin crease was set and incised
is indicated by a
white line of fibrous tissue. |
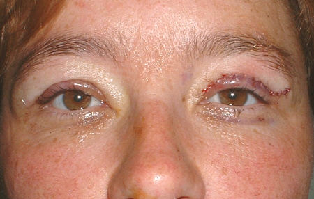
Appearance of the lids one hour after right ptosis
correction and left
blepharoplasty. (The right ptosis was performed
before the blepharoplasty
so that the height of the right lid is symmetrical
with that of the left eye. If the
blepharoplasty was performed before the levator
advancement, the resulting
haematoma and swelling may affect the height
of the left lid for proper
comparison.) |
Appearance of the lids at one week. |
|