Dacryocystogram
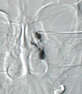
This 59 year-old woman had had bilateral endonasal dacryocystorhinostomy (DCR). She was symptom free for about 6 months but returned to the clinic recently complaining of right epiphora. Syringing revealed blockage in the right nasolacrimal system but patent in the left system. A DCG was requested which revealed blockage of the right nasolacrimal system. On the left side, the DCG demonstrated patent fistula between the nasal cavity and the lacrimal sac.
She later underwent external DCR with good result.
Right DCG showing lacrimal sac filling without drainage into the nasal cavity. In the last frame, dye shows up in the lower lid margin from regurgitation.
Left DCG showing  lacrimal sac filling  followed by spillage of the dye into the nasal cavity through the patent dacryocystorhinostomy.
More oculoplastic cases