Test 33  (External eye disease)

1. This patient has this appearance in both eyes, the following are true:

a. the condition is autosomal dominant

b. vision is rarely affected until middle age

c. recurrent erosion affects more than 50% of the patients

d. the endothelium is normal

e. the lesion is best stained with alcian blue
 


 
 

2. This patient underwent a corneal procedure recently and complains 
    of photophobia and pain. The opacities do not stain with 
    fluorescence. The likely procedure is:

a. excimer laser

b. EDTA removal of band keratopathy

c. radial keratotomy

d. LASIK 

e. micropuncture of the cornea
 


 
 
 

3. The above picture is taken of a patient who has had a corneal 
    graft. The following are true:

a. the picture shows an early sign of graft rejection

b. the graft is at risk of dysfunction unlike treated with 
    intensive steroid

c. the line seen above is located in the posterior stroma 
    of the cornea

d. untreated, the line will move across the cornea

e. the line is made up of aggregates of  macrophages
 

4. This patient presents with bilateral photophobia without 
     conjunctivitis. No history of infective conjunctivitis is known. 
     Fluorescence shows epithelial stainings. The slit-lamp features 
     are as shown above. The following are true:

a. anterior uveitis is likely to be present

b. vision is likely to be impaired due to corneal scarrings

c. the corneal sensation is reduced

d. topical acyclovir is useful

e. topical steroid is useful


 
 
 

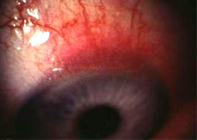
5. This patient complains of foreign body sensation and photophobia.
    There are no signs of cells in the anterior chamber or foreign body. 
    The following is true:

          a. the patient usually have bilateral red eyes in primary position

b. the patient is likely to be female than male

c. follicular conjunctivitis of the upper lid is a feature

d. the cornea is not affected

e. RGP (rigid gas permeable) contact lens wear is a cause
 
 

 
More MCQs