Test 37
(Matching Paper: Pathology)
In response to considerable discussion the Examinations Committee of the College has decided to update the format of the Part 3 MRCOphth Examination from April, 2003.
An extended matching paper will replace the existing MCQs and they will be no negative marking. The test will probably be easier than the previous format. To familiarize the candidates with the new formats, test 34 and onward will follow the new style as described below by the College.
 
40 questions over a 3-hour period.
The questions will be divided as follows.
  • 5 pathology questions
  • 5 microbiology questions
  • 15 general ophthalmology questions
  • 15 Medicine and Neurology in relation to ophthalmology
Extended matching questions are multiple choice items organized into sets that use one list of items in the set. The extended matching set includes four components 
    1.A theme 
    2.an option list 
    3.a lead in statement 
    4.at least four item stems, as illustrated below 
This will involve 40 questions (probably 200 stems) over a period of 3 hours.

1. Match the slides (a-d) with the options ie. stain used (A-N) listed below:
 
A. Sudan black
B. masson trichrome
C. Congo red
D. oil red O
E.  Giemsa stain 
F.  alcian blue
G. Prussian blue
H. calcoflour white
I.   von Kossa
J.   Ziehl -Neelsen
K.  toluidine blue
L.  Gram stain
M. Gomori–methenamine silver
N.   periodic acid schiff
 


 


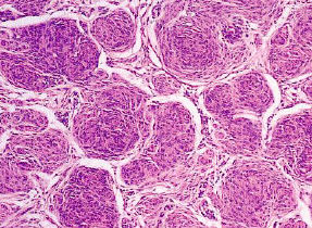
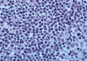
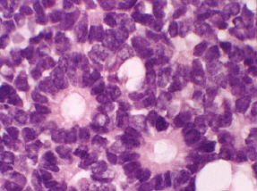
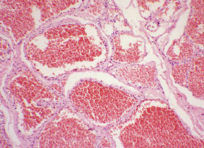
2. Match the following slides (a-d) with the options (A-N) listed below. The slides show 
    tissues taken from the orbit:
 

A. mucomycosis
B. pleomorphic adenoma
C. lymphoma
D. cavernous haemangioma
E. optic glioma
F.  myositis
G. lymphangioma
H.  neuroblastoma
I.   rhabdomyosarcoma
J.   retinoblastoma
K.  meningioma
L.  thyroid eye disease
M. neurofibroma
N.  dermoid
 
a.

b.


 

c. 


 

d. 

 
More MCQs