Test 25
(conjunctiva)
a.
b.
c.
d.
e.
1.
2.
3.
4.
5.
Match the conjunctival disorders (in alphabets) with their histological appearance (in numbers).
a.
1.
b.
2.
c.
3.
d.
4.
e.
5.
Answer
a=5; b=1; c=2; d=3; e=4.
Explanation:
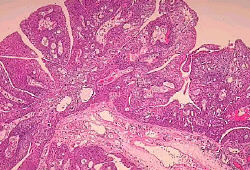
a. is conjunctival papilloma. Histologically, this appears as fronds of conjunctival
epithelium surrounding cores of fibrovascular tissue as in 5.
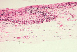
b. is primary acquired melanosis of the conjunctiva. 1. shows atypical pigmented
cells (melanocytes) confined to the epithelium.
c. is ocular cicatricial pemphigoid with shortening of the fornix and subtarsal
scarring. 2. is positive immunofluorescentstaining of antibodies to the conjunctival
basement membrane.
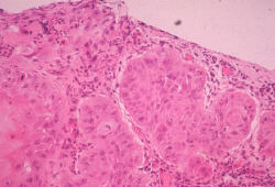
d. is pyogenic granuloma. Histologically, it has a smooth surface and contains
inflammatory cells and radiating vessels in the stroma as in 3.
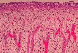
e. is squamous cell carcinoma of the conjunctiva. 4 shows the presence of
squamous cell carcinoma in the conjunctival stroma.
More MCQs for the final MRCOphth