Test 24
(eyelids)
a.
b.
c.
d.
e.
f.
1.
2.
3.
4.
5.
6.
Match the eyelid skin lesions (in alphabets) with their histological appearance (in numbers)
a.
1.
b.
2.
c.
3.
d.
4.
e.
5.
f.
6.
Answer
a=4; b=5; c=6; d=2; e=1; f=3
Explanations:
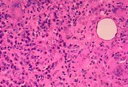
a is chalazion. Histology of chalazion typically shows chronic inflammation with foreign
body giant cells and empty spaces from lipid removal during tissue processing as in 4.
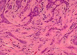
b shows morphea form of basal cell carcinoma. Histologically this appears as strands
of tumours within abundant fibrous stroma. 4 is the right answer.
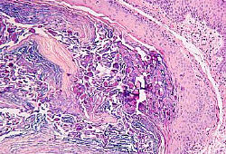
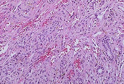
c. is Kaposi's sarcoma. Slit-like spaces between spindle shaped cells are characteristic
features. Red blood cells are seen within such spaces as in 6.
d is molluscum contagiosum with the characteristic umbilicated appearance.
Histologically, the infected cells appears pink and contains inclusion bodies as in 2.
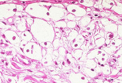
e is xanthelasma. Histologically, multiple lipid-filled macrophages are seen. However,
because of tissue processing, the lipid is removed by alcohol leaving clear spaces within
the cytoplasm of the macrophages (as clear cells) similar to 1.
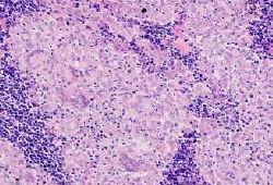
f shows sarcoid infiltration of the face and histologically this appears as non-caseating
chronic inflammation with giant cells as in 3.
More MCQs questions