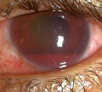
Test 23  (anterior segment) 
a. b. c. d. e. f.
1. 2. 3. 4. 5. 6.

Match the clinical pictures (in alphabets) with the appropriate histological changes (in numbers).



 
a.  1. 
b.  2. 
c.  3. 
d.  4. 
e.  5. 
f.  6. 
 
 
More MCQs