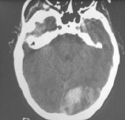
Test 22 (neuro-ophthalmology)
 

Refer to this picture for question 1.
1. The following signs may occur in this patient:
a. 

b. 

c. 

d. 

e. 

 


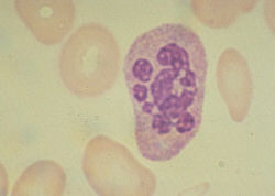
Refer to this picture for question 2
2. Condition that can give rise to this picture include:
a. 

b. 

c. 

d. 

e. 


 
 
 
 
...
The two pictures (before and after treatment) were taken 
about 20 years apart.

3. The following are true:
a. craniotomy scar is likely to be present

b. abdominal scar is likely to be present

c. if he fails to take his medication, 
    hypotension and hyperkalaemia will occur.

d. bitemporal hemianopia may be present

e. junctional scotoma may be seen


 


Refer to the picture above for question 4.

4. The right pupil is dilated and the result of the swinging
    light test is as shown above. The following may 
    account for the findings:
a. the examination is normal 

b. the patient may have a right optic atrophy

c. the patient may have a left optic atrophy

d. the patient may have advanced left
   glaucoma

e. the patient may have a right macular hole


 


Refer to this picture for question 5.

5. Drugs which can precipitate myasthenia gravis include:
a. 

b. 

c. 

d. 

e. 

 
 
More MCQs