Test 21  (systemic diseases) 

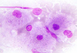
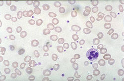
Refer to this picture for question 1.
 
1. Related features include:
a. 

b. 

c. 

d. 

e. 
 


 

 


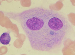
Refer to this picture for question 2.
2. Blood films related to the above appearance include:
a. 

b. 

c. 

d. 

e. 


 
 
 



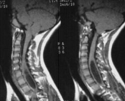
Refer to this picture for question 3.
3. The above condition can be caused by:
a. 

b. 

c. 

d. 

e. 


 
 



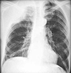
Refer to the picture above for question 4.
4. Recognized causes for the above condition include:
a. 

b. 

c. 

d. 

e. 


 
 



Refer to the picture above for question 5.
 
5. Causes of the above appearance include:
a. 

b. 

c. 

d. 

e. 

 
 
More MCQs