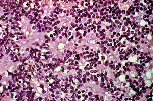
Refer to the picture above for question 1. |
1. The organisms responsible for the above appearance include:
a.
b.
c.
d.
e. 
Refer to this picture for question 2. |
2. The following conditions are associated with the picture above:
a.
b.
c.
d.
e.
Refer to the picture above for question 3. |
3. Related features in this boy include::
a.
b.
c.
d.
e.
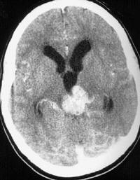
Refer to this picture for question 4. |
4. Associated features include:
a.
b.
c.
d.
e.
Refer to the picture above for question 5. |
5. The following investigation(s) is/are useful for confirming
the diagnosis:
An albino retina vs a normal retina.
Note the absence of pigments in the RPE. |
|