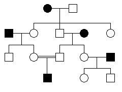
Refer to this picture for question 1. |
1. The following can precipitate or result from the condition shown in
the picture above:
a.
b.
c.
d.
e.
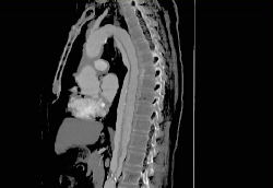
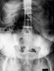
2. The following can be associated with the pictures above:
a.
b.
c.
d.
e.
3. The following are associated with the sign shown above:
a.
b.
c.
d.
e.
d
Refer to this picture for question 4. |
4. Systemic association include:
a.
b.
c.
d.
e.
5. The child may have the following additional signs:
a.
b.
c.
d.
e.
|