Test 17  (paediatric ophthalmology) 
 

Refer to the picture above for question 1,  2 & 3.

1. You are asked to examine the fundi of a baby with suspected 
     non-accidental injury and find the above appearance. 
     The following are possible causes:

a. coagulopathy 

b. normal vaginal delivery

c. proliferative diabetic retinopathy 

d. glutaric aciduria 

e. optic nerve glioma


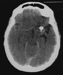
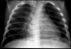
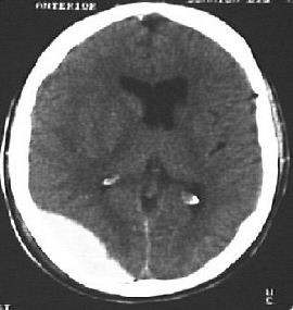
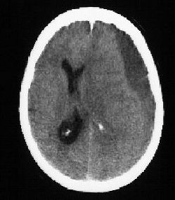
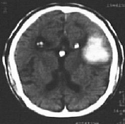
2. The paediatrician suspects shaken baby syndrome and order some
    radiological investigations. The following pictures are consistent 
    with the suspicion:

a. 

b. 

c. 

d. 

e. 


3. The final diagnosis was shaken baby syndrome. The following are 
     true about the ocular features:

a. retinoschisis is a cause of ocular scarring

b. the retinal haemorrhages are confined to 
    the superficial layer

c. retinal haemorrhages are necessary for the diagnosis
    of shaken baby syndrome

d. the main cause of visual loss in this condition is retinal
    haemorrhages.

e. ERG is useful in distinguishing between ocular and 
    brain causes of visual loss.



This is the fundal appearance of a child with 
mental retardation. Refer to this picture
for question 4 & 5.
4. The mother of this child may have the following skin lesion 
     in her first trimester:
 

a.

b.

c.

d.

e.


5. The following signs may be seen:
 


a.

b.

c.

d.

e.
 
 
More MCQs
'