Test 17  (phakomatoses) 
 

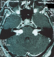
Refer to the pictures above for question 1 & 2
1. Other ocular manifestations of the above condition 
     include:
a. 

b. .

c. 

d. 

e. 

2. Other manifestations of this condition include:
a. 

b. 

c. 

d. 

e. 



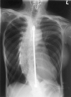
Refer to the picture above for question 3
3. Systemic associations include:
a. 

b. 

c. 

d. 

e. 

 


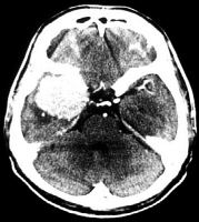
Refer to the above picture for question 4
4. The following are associated features:
a. 

b. 

c. 

d. 

e. 

 


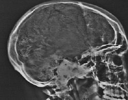
Refer to the picture above for question 5
5. Associated features for the above condition include :
 

a.

b.

c.

d.

e.
a

 
More MCQs