Question 7
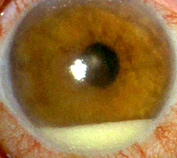
This patient underwent a right cataract surgery 6 days ago presented with a decreased vision and moderate pain.


a. What is the most likely diagnosis?


b. What are the other possible conditions?

c. What is the most likely pathogen?

 
d. How would you manage this patient?
e. Which two antibiotics were used in the EVS (Endophthalmitis Vitrectomy
    Study)?
f. What are the recommendations of the Endophthalmitis Vitrectomy Study 
    with regard to vitrectomy?

 
g. List three ways of preventing this condition.
Return to main page