Question 5
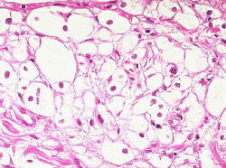
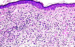
The following slide shows a skin lesion taken from a middle-aged patient. 

Low magnification


High magnification 


a. Where is the most common location of this lesion?.


b. What are the cells seen under high magnification?.


 
c. Why do the cells contain clear spaces?

 

d. The above slide has been stained with a special stain to highlight the abnormal cells. What is the name of this stain?.


e. What test would you like to perform on this patient?.


 
f. Which rare systemic disease is associated with this condition?
 
Return to main page