Question 4
A young woman complains of left misty vision. Examination reveals the following picture and vitritis. 

Lesion in the left eye.


a. What is the most likely diagnosis.


b. Name two ways in which this lesion may be acquired.

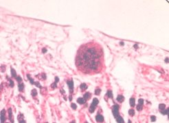
c. This slide is taken of a patient with the same condition. What does it show?


d. Name four circumstances in which systemic treatment is indicated.


e. Name four antibiotics which may be given for this condition.

Return to main page