Cornea MCQs

1. Conditions that can give rise to the following appearance include:
 

a. superior limbic keratoconjunctivitis
b. Sjogren's syndrome
c. Bell's palsy
d. Thygeson's keratitis
e. adenoviral keratitis


2. Conditions that may be associated with the following cornea appearance include:
 

a. Sjogren's syndrome
b. cerebrovascular accident
c. prolonged patching
d. iritis
e. herpes simplex keratitis


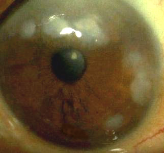
3. With regard this physical sign:
 
 

a. the abnormality is seen in the stroma
b. the underlying condition is inherited in an autosomal dominant fashion
c. its absence makes the diagnosis of the underlying condition unlikely
d. it usually begins at the nasal limbus
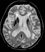
e. a brain MRI scan may of this patient may show the picture below

4. The following are true about this condition:
 

a. it is related to solar damage
b. it is seen in chronic corneal inflammation
c. the Bowman's membrane is replaced by scar tissue
d. histology shows amyloid deposits
e. penetrating keratoplasty is useful in patients with involvement of the 
    visual axis


5. This is the corneal appearance of a contact lens wearer. The picture on the right is the organism 
    responsible:
 


Figure 1

Figure 2
a. the organism originates in the tap water
b. a corneal biopsy may show the picture below (Figure 3)
c. the condition is responsive to gentamicin
d. ciprofloxacin can be used as monotherapy
e. the organism is difficult to eradicate

Figure 3

Click here for more MCQs